Advanced Endo Vascular Treatment
Image-guided treatments focused on faster recovery, safety, and lasting results.
University Trained IR
KEM Hospital Mumbai
Board Certified
Europe Board of Interventional Radiology (EBIR)
Hello and namaste dear patients and visitor. Myself Dr. Salman Mapara , i am a Board certified and trained Vascular & Interventional Radiologist specializing in minimally invasive, image-guided treatments for vascular, venous, non vascular bleeding, neuro and oncology conditions. My approach focuses on safer procedures, shorter recovery, and superior patient comfort. I keep patient first strategy with holistic management with maximum output and satisfaction.
We provide you with diagnosis , clinical examination and best possible treatment options tailored to your condition with love and blessing.
May God bless us all. Ameen
EBIR — Europe Board Certified by CIRSE
FVIR — KEM Hospital, Mumbai
MD / DNB Clinical Radiology — Sion Hospital, Mumbai
EBIR — Europe Board Certified by CIRSE
FVIR — KEM Hospital, Mumbai
MD / DNB Clinical Radiology — Sion Hospital, Mumbai
Safe, minimally invasive treatments for vascular and organ-based conditions.
Enlarged, twisted leg veins causing pain, swelling, and skin changes.
Blood clots in deep veins causing leg swelling, pain, and complications.
Non-healing wounds from poor circulation in leg or foot.
Leg pain or cramps while walking
Blockages increasing risk of stroke
Fistula narrowing or blockage with facial swelling (central vein occlusion) and abnormal flow.
Minimally invasive treatment for liver cancers- TACE, Ablation and embolization
Birthmarks / abnormal vessels on face , limbs & body
Enlarged scrotal veins leading to pain or male infertility
Heavy periods, pelvic pain or pressure. Uterine AVMs.
Non-surgical daycare treatment for benign thyroid lumps nodule and cyst.
Advanced image-guided procedures performed for complex vascular and organ-based conditions.
Tumor ablation, embolization , biopsy and FNAC. Palliation
PTBD TIPSS DIPSS TJLB BARTO Biliary stenting and Portal hypertension and bleeding management
MRI/CT interpretation and Thrombectomy and stenting/ plasty for acute and recurrent stroke. Cerebral DSA
Urine diversion, PCN, Prostatic artery embolization of BPH/Bleeding. TRUS biopsy
Bronchial artery embolization, pulmonary AVM embolization for hemoptysis and lung disease.
Visceral , peripheral and central arterial aneurysm embolization
Thoracic and abdominal aortic aneurysm – TEVAR & EVAR. Aortic Dissection stenting.
Facet joint injection/block, spinal root blocks, Joint injections, Early OA knee, Plantar fasciitis and adhesive capsulitis.
Modern, image-guided treatments for safer procedures and faster recovery.
Laser closure of faulty veins for pain and swelling relief.
Injection treatment to shrink spider veins and small varicosities.
Catheter-guided clot removal to reduce leg swelling and pain.
Opening narrowed arteries to restore healthy blood flow.
Non-surgical shrinking of fibroids to relieve pelvic pain and pressure and pelvic bleedings.
Minimally invasive treatment for varicocele-related pain or infertility.
Restoring blood flow in blocked or dysfunctional AV fistulas.
Radiofrequency treatment to shrink benign thyroid nodules without surgery.
Thrombectomy – mechanical , pharmacological and combined therapy for acute stroke.
Active bleeding form gastrointestinal region, solid organs, post traumatic, pancreatitis and peripheral vessels.
Acute ischemic limb ALI and critical limb ischemia CLI treatment by thrombectomy.
PTBD, Metallic stenting, plastic stenting for obstructive biliary disease
Permacath for CKD Patients. PICC for chemotheraphy and hematological medicines. Chemoport insertion.
Portal hypertension , bleeding and Cirrhosis, Budd Chiari management.
Organ biopsy-CT /USG guided, FNAC, Pigtail and collection/fluid tapping.
Pulmonary or bronchial bleeding, hemoptysis and PAH d/t Kochs tumor or cavities.
BPH, Large prostates, LUTS and bleedings.
Young hypertension, renal ostial stenosis and arterial disease.
Post traumatic, post operative or de nonvo bleeding embolization.
Verified reviews from patients under Dr. Salman Mapara’s care.
Minimally invasive care, evidence-led decisions, and personalised follow-up — from consultation to recovery.
Advanced image-guided procedures backed by international training.
Less pain, faster recovery, and minimal hospital stay.
International certifications with protocol-driven, evidence-based treatment.
Almost are day care and shortest stay procedures with a pin hole.
Clear communication, timely appointments, and thorough recovery follow-ups.
A clear, step-by-step approach focused on accuracy, safety, and faster recovery.
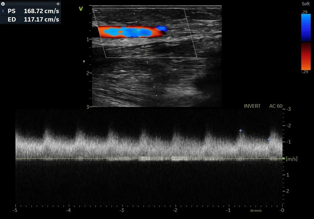
Detailed evaluation with ultrasound or imaging to clearly identify the problem.
A tailored plan based on imaging findings, medical evidence, and patient needs.
Minimally invasive treatment performed using precise, image-guided techniques.
Faster recovery, minimal hospital stay (where applicable), and structured follow-up care.
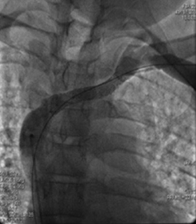
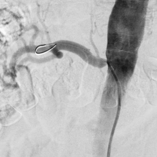
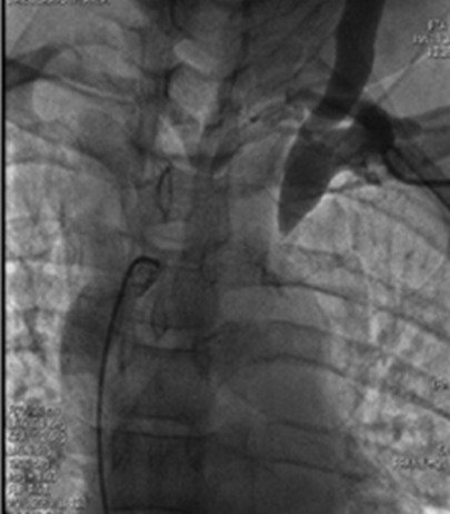
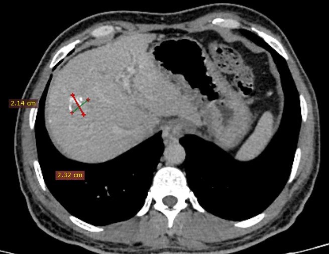
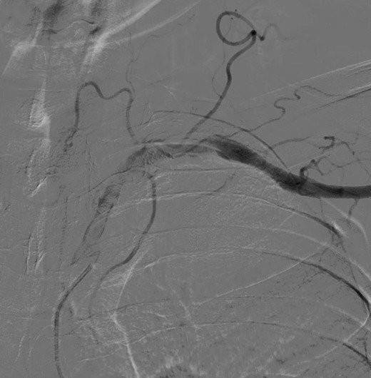
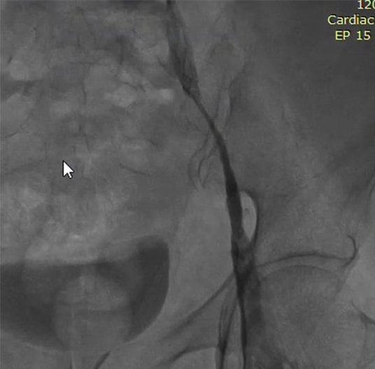
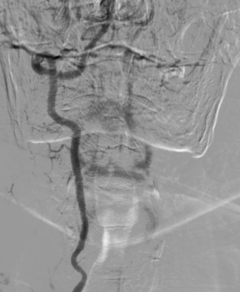
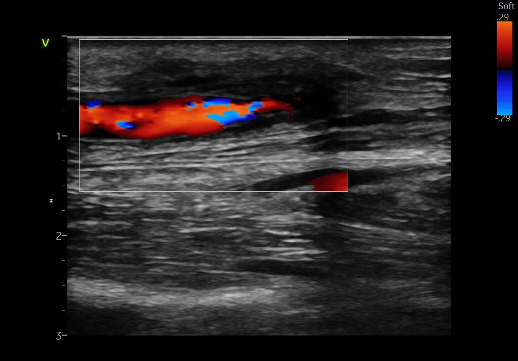
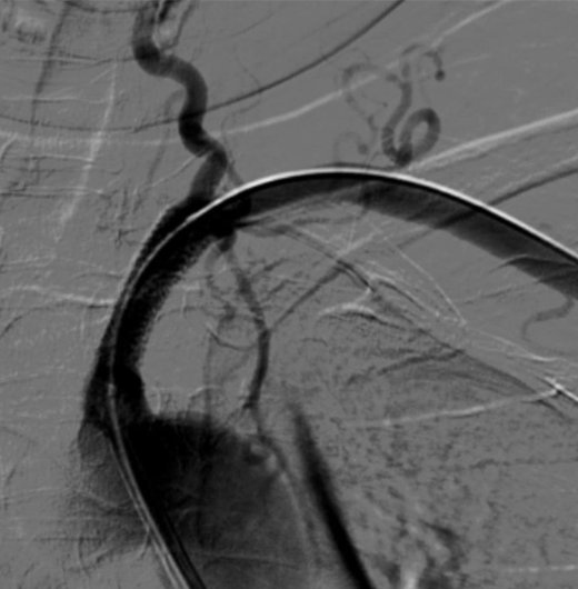
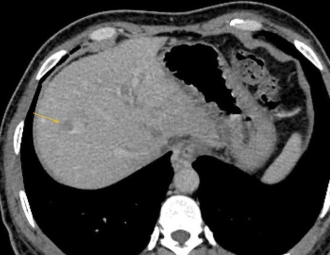
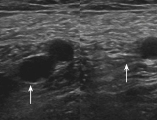
Outcomes observed in patients treated with image-guided, minimally invasive vascular procedures.
Results vary by patient and condition. Images are for educational purposes only.
Common questions patients ask before consulting a vascular specialist.
No. Many vascular conditions can be treated using minimally invasive, image-guided procedures. The appropriate treatment depends on the condition, severity, and overall patient health. A clinical evaluation is required to determine the best approach.
Most minimally invasive procedures are performed under local anesthesia and are generally well tolerated. Compared to traditional surgery, patients usually experience less discomfort and faster recovery.
Recovery time varies depending on the procedure and patient condition. Many patients are able to resume normal daily activities within a short period, sometimes on the same or next day.
Many vascular treatments are performed as day-care procedures. Hospital admission depends on the type of procedure and the patient’s clinical condition.
Eligibility is determined after a detailed consultation and diagnostic imaging. This evaluation helps identify whether a minimally invasive treatment is suitable for the patient.
Get expert evaluation to understand the right treatment approach for your condition.
Consultation does not obligate treatment.
Address: Dr Salman Mapara, Asian Tapadia Centre, Jalna Rd, Mondha, Chhatrapati Sambhajinagar, Maharashtra 431005
Morning OPD (9:00 AM – 2:00 PM)
IPD / Procedures: 24×7
Address: Majnu Hills, Ganesh Galli CIDCO, Chhatrapati Sambhajinagar (Aurangabad) 431001
Evening OPD (3:00 PM – 8:00 PM)
IPD / Procedures: 24×7
The information provided on this website is for educational purposes only and does not replace professional medical consultation. Diagnosis and treatment decisions are made after clinical evaluation and appropriate investigations.
Share your details and we will guide you further.